Direkt nach einer Herzkatheteruntersuchung oder nach entsprechender Einbestellung und Vorbereitung des Patienten kann eine Ballonaufdehnung der Herzkranzgefäße erfolgen.
Die Ballonaufdehnung erfolgt wie die Herzkatheteruntersuchung unter örtlicher Betäubung.
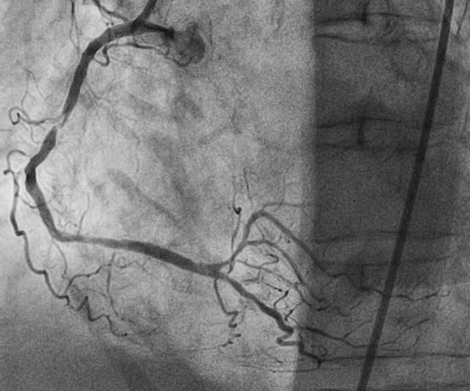
Ein sehr dünner Draht wird durch die Engstelle oder den Verschluss des Herzkranzgefäßes geführt. Dann wird ein Ballonkatheter in die Engstelle gelegt und mit Druck entfaltet. In den meisten Fällen muss noch eine Gefäßstütze (Stent) in das Herzkranzgefäß eingelegt werden, da das Ergebnis der Aufdehnung allein nicht ausreichend ist. Hierbei setzen wir zunehmend Stents ein, die mit einem Medikament beschichtet sind und das Risiko einer erneuten Gefäßverengung im Stentbereich reduzieren. Dabei richten wir uns nach den Leitlinien der deutschen und europäischen Fachgesellschaften. Bei stark verkalkten Gefäßen setzen wir einen Bohrer (Rotablator) ein, um so einen glatten Kanal für die Stentimplantation zu schaffen. Nach der Untersuchung wird der Patient in einem speziellen Überwachungszimmer bis zum nächsten Tag versorgt.
Ist ein Patient nicht für eine Ballonaufdehnung geeignet oder zeigt sich eine komplexe Situation, so besprechen wir am HGZ den Befund grundsätzlich in unserem Herzteam, das aus erfahrenen Kardiologen und Herzchirurgen besteht, um eine individuell passende Therapieentscheidung für den Patienten fällen zu können. Hierbei legen wir unter anderem ebenfalls die Leitlinien der deutschen und internationalen Fachgesellschaften zugrunde.



